SCAN2
43 year old female with lump in left breast. Mammogram showing mass with scattered microcalcifications within the mass.
SCAN4
15 year old boy with pain at ankle.
CT with 3D reconstruction shows Osteomyelitis at distal metaphysis of tibia.
SCAN5
54 year old female with h/o injury; X-Ray of knee joint shows fracture at patella.
SCAN6
46 year old male, with h/o hip joint pain after epileptic attack. CT with 3D reconstruction of pelvis showing posterior dislocation of hip joint.
SCAN7
54 year old male with injury to face, CT with 3 D reconstruction shows multiple fractures of facial bones.
SCAN8
51 year old male with abdomen pain
CT angiogram of abdomen shows partial thrombus at superior mesenteric artery at its origin.
SCAN9
24 year old soldier with pain in mid leg. X Ray of leg shows stress fracture at mid third fibula with callus formation.
SCAN10
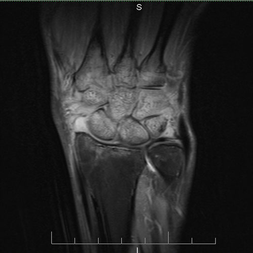
48 year old female with pain in hand. MRI showing Inflammatory arthritis.
SCAN11
70 year old female with right upper quadrant pain. MRCP showing cholelithiasis
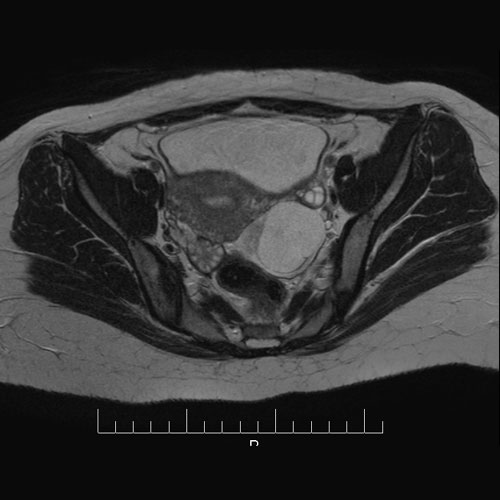
SCAN12
28 year old female with left lower abdomen pain. MRI showing torsion of Fallopian tube.
SCAN13
18 year old female with back pain. MRI showing Infectious spondylodiscitis with psoas abscess.
SCAN14
22 year old female with primary infertility. HSG showing blocked tubes on left side.
SCAN15
44 year old male with history of fall on outstretched hand. X ray of wrist joint showing Colle’s fracture.
SCAN1
60 year old male with pain in left lower limb.
CT angiogram of both lower limbs shows diffuse atherosclerotic changes. Complete occlusion of proximal superficial femoral artery on left side with reformation of distal third at lower thigh through collaterals.
SCAN3
7 year old boy with pain in abdomen on left side. CECT with 3 D reconstruction shows a ‘Horse - Shoe’ shaped kidney with obstructed left side kidney. Horseshoe kidneys are the most common type of renal fusion anomaly. A horseshoe kidney is formed by fusion across the midline of two distinct kidneys. They are connected by an isthmus of either functioning renal parenchyma or fibrous tissue. With a horseshoe kidney, ascent into the abdomen is restricted by the inferior mesenteric artery (IMA) which hooks over the isthmus. Hence horseshoe kidneys are low lying.